Some of us may like our smile for the most part; however, we may feel we have too much gum showing. We may feel like our gums are lower on one side than on another. We may feel like our gums are lower on certain teeth when compared to others. We may feel like our gums are “bumpy” or too thick. Are there options for changing these situations?
Indeed there are options for changing these situations. For most of these conditions either a laser or gum surgery may be needed. These treatments can be done by a general dentist or by a periodontist. The laser dentistry option is recommended for more minor changes. Naturally then, gum surgery is recommended for the more severe changes. For both options local anesthetics are generally used for comfort during the procedure. For the gum surgery some patients may opt for intra-venous medications to provide for more relief from anxiety. Both of these options have been used for a long time and are quite successful.
If you have a dentist I would ask about what is best for your particular situation. If you do not have a dentist, I would recommend your searching online for reputable dentists who can guide you. Online reviews are an excellent source of truth when choosing a dentist.
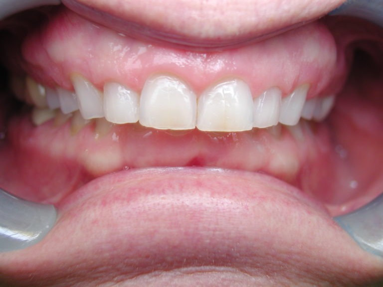
If you are interested in a sample of what gum treatment can do we invite you to see our images below.
If you are interested in viewing more images on cosmetic dentistry we invite you to follow this link.
If you are interested in more information on our cosmetic dental services we invite you to follow this link.
If you are interested in more about us we invite you to follow this link. We value our patients greatly and we would graciously welcome you to our practice as well.

